To save an image onto your computer, right click it and select "save as".
All images are copyright Magscope. They are released under the
Creative Commons Licence CC BY-NC-ND 3.0
You may download and use these images for non-profit purposes, but the notices on each image must remain intact.
Micrograph of a cross section of a human penis
Low magnification image of a cross section of the corpus cavernosum of the human penis
Disability awareness and educational equity: This image has been optimised for red-green colour blind observers who are often unable to differentiate the colours in histological slides, using methods described by Professors Landini and Perryer here.
Low magnification image of a cross section of the corpus cavernosum of the human penis
Disability awareness and educational equity: This image has been optimised for red-green colour blind observers who are often unable to differentiate the colours in histological slides, using methods described by Professors Landini and Perryer here.
Low magnification image of a cross section of the penile urethra illustrating the stratified columnar epithelium lining the lumen and cellular lamina propria
Disability awareness and educational equity: This image has been optimised for red-green colour blind observers who are often unable to differentiate the colours in histological slides, using methods described by Professors Landini and Perryer here.
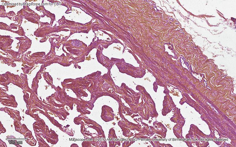
Low magnification image of a cross section of the corpus spongiosum and tunica albuginea of the human penis
Disability awareness and educational equity: This image has been optimised for red-green colour blind observers who are often unable to differentiate the colours in histological slides, using methods described by Professors Landini and Perryer here.
Micrograph of a cross section of the corpus cavernosum of the human penis
Disability awareness and educational equity: This image has been optimised for red-green colour blind observers who are often unable to differentiate the colours in histological slides, using methods described by Professors Landini and Perryer here.
High magnification image of a cross section of the corpus cavernosum of the human penis
Disability awareness and educational equity: This image has been optimised for red-green colour blind observers who are often unable to differentiate the colours in histological slides, using methods described by Professors Landini and Perryer here.
High magnification image of a cross section of the corpus cavernosum of the human penis
Disability awareness and educational equity: This image has been optimised for red-green colour blind observers who are often unable to differentiate the colours in histological slides, using methods described by Professors Landini and Perryer here.
High magnification image of a cross section of the corpus spongiosum of the human penis
Disability awareness and educational equity: This image has been optimised for red-green colour blind observers who are often unable to differentiate the colours in histological slides, using methods described by Professors Landini and Perryer here.
High magnification image of a cross section of the penile urethra illustrating the stratified columnar epithelium lining the lumen
Disability awareness and educational equity: This image has been optimised for red-green colour blind observers who are often unable to differentiate the colours in histological slides, using methods described by Professors Landini and Perryer here.
Funding for the Slide Bank was generously provided by